再生針Radiesse價格多少?再生針費用/晶亮瓷玻尿酸差別/再生針dcard4大QA必看!

再生針(晶亮瓷Radiesse)是再生型膠原蛋白增生劑,一次施打,具有「立即填補、輪廓拉提、膠原蛋白增生」三種效果,受到市場青睞。但許多消費者更會關心,Radiesse再生針(晶亮瓷)玻尿酸差別在哪裡?事實上,Radiesse再生針相較於玻尿酸,勝在彈力高、支撐力強、定型效果更佳,且再生針還能刺激膠原蛋白,具有更多重優勢,遇到技術好的專業醫師更能發揮其優秀價值。
此外,Radiesse再生針(晶亮瓷)dcard/ptt網友也好奇:Radiesse再生針價格怎麼算?再生針打了會移位嗎?微晶瓷是再生針嗎?微晶瓷打了會殘留骨粉嗎?本文從醫學實證及文獻為資料,根據解剖學,說明再生針(晶亮瓷)治療關鍵,同時提供5大QA遠離再生針(晶亮瓷)失敗的副作用發生。

老化不是單一狀態!改善要三層級同步
隨著年齡增長,肌膚結構逐漸發生變化,不光是表皮細紋問題,更明顯的是真皮層中膠原蛋白流失。尤其是,一型及三型膠原蛋白掌握了肌膚的結構完整性與彈性,而彈力蛋白提供肌膚回彈的能力;蛋白聚醣負責保濕與潤澤,新生血管則為新生肌膚提供氧氣及營養補充。這五大活膚元素共同構成健康肌膚,是維持肌膚彈性、支撐與潤澤的關鍵。

然而,隨著年齡增長,五大活膚元素逐漸減少,就會導致深層韌帶鬆弛、脂肪墊萎縮以及骨骼支撐減弱,進而造成臉部組織下垂、位移及輪廓模糊。因此,針對結構型老化,改善策略必須從解剖結構切入,針對三個層級同時作用:
- 在深層進行支撐填補,修補骨架凹陷;
- 強化韌帶支撐力,拉提輪廓線條;
- 刺激膠原蛋白與其他活膚元素再生,重建真皮彈性與潤澤,使肌膚恢復彈性和支撐力。

再生針是什麼?認識再生針Radiesse

Radiesse瑞德喜植入劑、晶亮瓷、微晶瓷,在台灣統稱為「再生針」,正是基於結構式老化而設計的再生型膠原蛋白增生劑。再生針的主要成分是,30%的CaHA微晶球,搭配70%的CMC凝膠。
注射後,凝膠立即填補凹陷,恢復臉部輪廓的立體飽滿;隨著時間推移,CMC凝膠被吸收,CaHA微晶球會留在皮下,成為纖維母細胞附著與活動的「三維支架」,持續刺激膠原蛋白、彈力蛋白、蛋白聚醣與新生血管生成,強化韌帶、拉提支撐及提升肌膚彈性,改善肌膚結構。

再生針的特殊機制,不僅能夠達到一次施打,同時「①立即填補+②輪廓拉提+③膠原蛋白再生」三大功效,且從深層到表層重塑健康肌底,得以更全面性的解剖層級改善臉部老化問題。
- 單次治療後3~6週,皮下組織厚度顯著增加
- 促進五大活膚元素再生:膠原蛋白、彈力蛋白、蛋白聚醣、玻尿酸、微血管生成
- 修復細胞外基質(ECM),重建皮膚結構與屏障
- 改善膚質、光澤與緊實度,全臉自然年輕化

再生針與膠原蛋白增生的關係?


再生針之所以能夠達成膠原蛋白長效增生的效果,關鍵就在於核心成分:CaHA(羥基磷灰石鈣)微晶球的精密設計。透過高倍顯微放大鏡發現,每顆CaHA顆粒的尺寸約在25到45微米(μm)之間,表面經過高度處理,呈現圓潤光滑的球型結構,並帶有約3微米大小的微孔。
更重要是,再生針的CaHA具備良好的親水性,容易與細胞和蛋白質「黏在一起」,幫助纖維母細胞(fibroblasts)順利附著,提供理想的生長基地。當這些細胞穩穩附著後,CaHA就像搭了一座「立體再生鷹架」,藉由持續性的刺激,啟動膠原蛋白與彈力蛋白的大量增生,讓肌膚恢復彈性與支撐力。
臨床證實,CaHA與纖維母細胞的直接接觸是誘導膠原蛋白增生的關鍵!再生針注射後,皮膚厚度能夠於三個月內提升55%。初期是促進第一型與第三型膠原蛋白,連帶也促進彈力蛋白、蛋白聚醣、新生血管,以及細胞外基質(ECM)的修復。透過活化真皮層五大活膚元素的核心作用,從根本重建流失的肌膚結構,最終達成全面的肌底再生效果。

再生針的膠原蛋白增生效果,根據《Taylor & Francis》醫學文獻(下左圖圖說),使用PSR影像放大200倍顯示,CaHA附近(白色箭頭)反覆合成,產生大量的 I型膠原蛋白(橘紅色)及III型膠原蛋白(綠黃色)。右圖圖說:CaHA填充劑7個月後,仍觀察到豐富的III型膠原蛋白新生,且纖維形狀各異,從粗而緻密、到非常細的III型膠原纖維都有。


再生針可以恢復皮膚的結構和功能。根據一項臨床研究的皮膚測量分析(見下圖),再生針注射後,皮膚斜皺褶及凹陷均有所改善,皮膚粗糙度改善、角質化減少,表面看起來更光滑,達到精緻豐盈的年輕化。 (CF) 超音波分析顯示,單次治療3週和6週後,皮膚和皮下組織厚度顯著增加,皺紋成纖維細胞的收縮力恢復到正常成纖維細胞的水平。

再生針/晶亮瓷哪一國?
最初,再生針是由美國BioForm Medical研究,並於2006年12月正式獲得美國FDA批准(批准案號P050052),用於填補中至重度的法令紋和面部皺摺,例如鼻唇溝 (NLF),亦可用於矯正HIV引起的臉部脂肪萎縮治療。
2010年,德國百年藥廠莫氏Merz成功收購BioForm Medical,將再生針納入麾下,進一步擴展全球營運。再生針陸續獲得歐盟CE認證(2004年通過)、台灣衛福部TFDA核准等,全球超過60個市場的合法上市資格。
截至2020年,再生針在全球銷售超過1500萬支,累積200篇臨床試驗文獻,廣泛被醫學界驗證為安全、有效的膠原蛋白再生性填充材質。現今「再生針」一名,多用於台灣與亞洲市場,是Radiesse的俗稱。
微晶瓷是再生針(晶亮瓷)嗎?
微晶瓷、晶亮瓷,這兩個名稱在台灣經常被交替使用,實際上指的是同一種填充物質「Radiesse再生針」。
微晶瓷是中文翻譯上的舊名,而晶亮瓷是多數診所用來行銷Radiesse時的商品名稱,兩者皆為CaHA微晶球體+CMC凝膠的再生型膠原蛋白增生劑,訴求「結構型支撐+細胞活化誘導」,並以提升肌底重建能力為主要目標。再生針一次注射,具有「立即填補、輪廓拉提、膠原蛋白增生」三種效果。
微晶瓷會鈣化嗎?晶亮瓷會殘留嗎?

「微晶瓷」一詞在早年因為以訛傳訛的網路謠言,曾經被誤解為「骨粉型填充劑」,導致晶亮瓷Ptt討論中有部分網友擔心,治療後出現微晶瓷鈣化或微晶瓷殘留的風險。但事實上,微晶瓷鈣化一說不正確,並未獲得醫學影像證實。
微晶瓷會消嗎?
相反地,再生針的CaHA,從化學結構上來看是一種鈣和磷酸鹽的化合物,與人體骨骼和牙齒中的礦物質成分相似,具有100%生物相容性與可分解性,注射後會被人體安全接納,最終可完全分解代謝,不會殘留體內,因此不會出現「晶亮瓷殘留」。

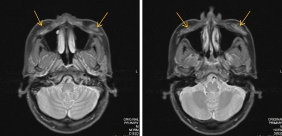
MRI臨床影像(上圖)亦證實,再生針注射後2.5年,無任何殘留訊息,不會形成骨頭組織,也不會遮蔽X光,僅有組織結構增厚的改善結果。臨床指出,再生針效果約12到18個月。《Pavicic T. et al., 2013》

再生針並非源自人體或動物組織,降低了病原體污染的風險。根據《Clinical, Cosmetic and Investigational Dermatology》MRI證實,注射後2.5年,看不到任何CaHA微晶殘留,組織體積仍維持增加,顯示填充材質被代謝,且肌膚經過再生針刺激所生成的新膠原仍能提供結構支撐,使臉部線條自然立體。
再生針新舊比較:Radiesse vs Radiesse Plus

Radiesse Plus(再生針加強版)是在傳統基礎上,額外添加0.3%利多卡因麻醉劑,有效提升治療時的舒適度,同時保有CaHA(羥基磷灰石鈣)促進膠原蛋白增生的特性,讓治療過程更放鬆、效果更自然。
Radiesse(經典版再生針)相比,Radiesse Plus(再生針加強版)具有以下特點:
- 高黏度、高彈性:質地穩定、柔韌,牢固支撐皮膚結構,貼合臉部輪廓,更適合雕塑顴骨、下顎線與臉部外框,打造俐落的立體五官。
- 長效持久:臨床指出,效果長達18~24個月,每次所需劑量較少,性價比高。
- 治療層次更深:Radiesse Plus可注射至皮下組織甚至靠近骨膜處,不僅改善膚質,還可重建結構支撐點,從深層回復年輕。
左右滑動看表格| 再生針Radiesse Plus vs Radiesse Classic比較表 | |||||
| 再生針Radiesse Classic | 再生針加強型Radiesse Plus | ||||
| 主要成分 | 30%CaHA微晶球 + 70%CMC凝膠 | 相同+ 0.3%利多卡因麻醉劑 | |||
| 注射層次 | 真皮層與皮下組織 | 可更深層注射,靠近骨膜支撐區 | |||
| 治療特色 | 提升肌膚飽滿度、改善皺紋、刺激膠原蛋白新生 | 輪廓線雕塑更明顯、治療舒適度更高 | |||
| 適合部位 | 法令紋、下巴、蘋果肌、手部、頸部等 | 顴骨、下顎線、下臉輪廓、雕塑五官線條 | |||
| 注射感受 | 注射時略有疼痛感,需搭配局部冰敷或外用麻藥 | 內含麻醉成分,舒適度更佳 | |||
再生針玻尿酸比較
再生針(晶亮瓷)玻尿酸差別在哪裡?目前醫美使用的玻尿酸大多是生物合成,親水性佳,注射後可立即填補凹陷、改善皺紋,維持時間依不同品牌而異,平均6至12個月。對比,Radiesse再生針的主要成分是CaHA,為可生物吸收的微晶顆粒,注射後不僅能立即支撐凹陷,還能刺激膠原蛋白,具備「立即填補」與「長效增生」雙重效果,且再生針效果長達12至18個月以上。

除了成分差異,生物力學及流變特性(黏度和彈性)也至關重要。根據體外流變學研究(上圖),相較於傳統的玻尿酸填充劑,再生針的黏度與彈性更好,不易擴散或位移,適用於深層骨架支撐與立體輪廓強化,包括:晶亮瓷下巴、晶亮瓷下顎線、晶亮瓷額頭等區域更具優勢。
晶亮瓷玻尿酸比較表格整理
左右滑動看表格| 再生針(晶亮瓷)玻尿酸比較表格 | |||||
| 再生針(晶亮瓷Radiesse/微晶瓷) | 玻尿酸 | ||||
| 主要成分 | 羥基磷灰石鈣(CaHA)+ CMC凝膠 | 透明質酸(Hyaluronic Acid) | |||
| 注射層次 | 深層皮下或骨膜上 | 真皮層或淺層皮下 | |||
| 維持時間 | 約12~18個月 | 約6~12個月,依品牌與部位而異 | |||
| 支撐/塑型力 | 支撐力強、彈性高、定型效果佳 | 質地柔軟,塑型力弱,適合柔和線條 | |||
| 膠原蛋白增生 | 有,促進I型與III型膠原蛋白增生 | 無膠原蛋白增生作用 | |||
| 適用部位 | 法令紋、下巴、下顎線、額頭等骨架支撐部位 | 蘋果肌、唇部、淚溝、嘴角等柔性部位 | |||
晶亮瓷玻尿酸比較的專業建議是,若希望在短期內修飾輪廓、填補淺層凹陷,並保有可逆性與補打彈性,玻尿酸是入門首選;但如果追求更持久、想兼顧深層支撐與膠原蛋白增生,晶亮瓷(再生針)是玻尿酸的進階升級版。實際選擇時,建議由專業醫師依據個人膚質、注射部位與預算評估來做決定。
再生針 vs 洢蓮絲 vs 薇貝拉
雖然再生針(晶亮瓷)、洢蓮絲(Ellansé)與薇貝拉(VIVABELLA)都屬於「膠原蛋白增生劑」,但實際作用原理、成分組成、支撐力與適用部位上皆有所不同。若你正在考慮選擇哪一款填充針劑適合自己,以下提供完整比較表格。
左右滑動看表格| 再生針vs洢蓮絲vs薇貝拉比較表 | |||||
| 再生針(晶亮瓷/Radiesse) | 洢蓮絲(Ellansé) | 薇貝拉(VIVABELLA) | |||
| 主要成分 | 羥基磷灰石鈣CaHA+CMC凝膠 | 聚己內酯PCL+CMC凝膠 | 聚雙旋乳酸PDLLA+非交聯玻尿酸 | ||
| 支撐/塑型力 | 支撐力強、彈性高、定型效果佳 | 適中,強調自然柔和立體感 | 中等,結合柔軟玻尿酸與PDLLA彈性 | ||
| 刺激膠原能力 | 有,刺激I型與III型膠原蛋白增生 | 刺激第一型膠原蛋白為主 | 刺激第一型膠原蛋白為主 | ||
| 維持時間 | 約12~18個月 | 依劑型不同,約12~48個月 | 約12~24個月 | ||
| 適用部位 | 法令紋、下巴、下顎線、額頭等骨架支撐部位 | 蘋果肌、太陽穴、顴骨、法令紋等脂肪層部位 | 蘋果肌、法令紋、痘疤、額頭凹陷、全臉凹陷改善 | ||
Radiesse再生針價格多少?
再生針一瓶幾cc?

再生針價格通常是以「支」為單位計價,主流計算為一瓶即一支,一支為1.5cc,相較於傳統的玻尿酸填充劑一支1cc容量,劑量較多、作用層次也更深層,台灣市面行情每支約落在NT$18,000~NT$25,000之間,屬於價格略高,但是維持時間更長的膠原蛋白增生劑。
值得注意的是,比較再生針價格時,建議不要只看「單支金額」,應該考量完整的術前諮詢、注射醫師技術、針劑是否為原廠授權正貨、以及術後回診與追蹤。醫美療程的總費用也會根據醫師評估所需要的治療範圍及客製化劑量配置而不同。若預算有限,也可先施打單一區域進行微調,視效果評估是否補打。
左右滑動看表格| 再生針費用及部位價格調查 | |||||
| 注射部位 | 建議劑量範圍 | 建議使用支數 | 價格範圍 | 說明 | |
| 法令紋 | 0.8~1.5cc | 約1支 | NT$18,000~25,000 | 填補凹陷,改善鼻唇皺褶 | |
| 木偶紋/嘴角紋 | 0.8~1.5cc | 約1支 | NT$18,000~25,000 | 改善下臉垂落感,增加輪廓支撐 | |
| 下巴 | 1.5~3.0cc | 約1~2支 | NT$25,000~50,000 | 延伸下巴比例,打造立體輪廓 | |
| 蘋果肌 | 1.0~1.5cc | 約1支 | NT$18,000~25,000 | 增加蘋果肌飽滿感,改善疲憊印象 | |
| 顴骨下凹區 | 1.5~3.0cc | 約1~2支 | NT$25,000~50,000 | 增加支撐力,改善中臉扁塌 | |
| 下顎線(輪廓線) | 2.0~4.0cc | 約2~3支 | NT$35,000~75,000 | 拉提緊緻輪廓,改善下臉鬆垮與雙下巴邊緣線 | |
| 夫妻宮/太陽穴 | 1.0~2.0cc | 約1~2支 | NT$25,000~50,000 | 改善凹陷感、修飾側臉曲線,增加臉部柔和感 | |
再生針維持時間?

PubMed臨床顯示,再生針注射後,超音波影像顯示(見左圖),真皮厚度從 D0(540 µm)增加到 D45(895 µm)和 D120(1633 µm),膠原再生效果可維持長達12到18個月,比一般傳統的玻尿酸填充劑更為持久。部分案例的改善甚至持續到24個月左右,關鍵在於醫師掌握再生針的注射技術與代謝條件較佳的情況下。
再生針維持時間比較表(依部位與條件分類)
再生針維持時間| 再生針維持時間比較表(依部位與條件分類) | |||||
| 治療說明 | 維持時間估算 | 影響因素 | |||
| 再生針下巴 | 約15~18個月 | 靜態區域,結構穩定 | |||
| 再生針額頭 | 約12~16個月 | 骨膜支撐效果佳,支撐性持久 | |||
| 再生針法令紋 | 約12~15個月 | 表情活動多,代謝速度快 | |||
| 第二次補打後 | 再生針效果更久(24個月↑) | 膠原生成疊加,組織厚度明顯提升 | |||

再生針失敗4大網路謠言破解
再生針/微晶瓷會位移嗎?
再生針注射後,建議至少48小時內避免劇烈運動,以免因為血液循環加快、體溫上升或肌肉活動頻繁,導致注射部位腫脹加劇,甚至影響藥劑穩定性。因為其質地的高黏度、高彈性,初期注射後在組織內尚未完全固定前,若反覆施壓、搓揉或劇烈活動,容易分佈不均,因此在前期護理非常關鍵。
再生針多久消腫?微晶瓷會腫多久?
再生針注射後,大多數人會在1至3天內出現輕微腫脹或瘀青,屬於正常反應。少部分人因體質或注射部位不同,可能腫脹感會延續5至7天,但通常在一週內會自然消退。建議術後48小時內冰敷、避免熱敷與飲酒。若腫脹伴隨明顯疼痛、皮膚變色或持續不退,應立即回診。
再生針可以打鼻子嗎?打鼻子會變寬嗎?
理論上,再生針可用於部分鼻部輪廓的修飾,如山根拉高或鼻背挺立等用途,然而,鼻部皮膚較薄,血管分佈密集,對注射技術的要求非常高,一旦注射層次過淺、劑量掌握不當,可能導致觸感偏硬或外觀僵硬。至於鼻子是否會變寬,這與注射的劑量、部位和醫師的技術有很大關係,並非晶亮瓷本身的特性所致。
哪些部位不建議打再生針?
再生針適合用於多數中臉與下臉的輪廓塑形,例如法令紋、下巴、蘋果肌與太陽穴等,但仍有部分區域不建議注射,包括:唇部與口腔黏膜(非核准適應症,易結節)、眼下與淚溝(組織過薄,易顯露與結節堆積)、鼻尖與鼻翼(血管豐富)。建議由專業醫師評估,才能避免再生針副作用並達到理想效果。
參考資料來源:
- Pavicic T. “Calcium Hydroxylapatite: A Review on Safety and Tolerability” Drugs Dermatol. 2013;12(9):996–1002. PubMed
- Berlin AL, Hussain M, Goldberg DJ. “Calcium hydroxylapatite filler for facial rejuvenation: a histologic and immunohistochemical analysis.” Dermatol Surg. 2008 Nov;34 Suppl 1:S64-7.
- Sadick NS, et al. “Calcium Hydroxylapatite Microspheres Stimulate Collagen Synthesis and Elastin Production in Human Skin.” J Drugs Dermatol. 2010.




